無理なく続ける、大人の美習慣
初めてでも安心のホワイトニングサロン
「年齢にふさわしい」
美しい白さを
「年齢にふさわしい」
美しい白さを
「年齢にふさわしい」
美しい白さを
清潔感ある
新オープンサロン
水素吸引で
内側からケア
初めてでも安心
カウンセリング
重視
来店初回クーポン配布中!
こんなお悩みありませんか?
歯の黄ばみが気になるけど
自分にあう方法がわからない
痛みや刺激の少ない方法を
選びたい
歯を傷めることなく
ホワイトニングを楽しみたい
黒ずみや着色汚れを
美白に自信の持てない
そのお悩み
Grace Whitening Yokohama
が解消いたします!
魅力1大人のためのセルフホワイトニング設計
刺激をできるだけ抑えたやさしい施術で、
歯や歯ぐきに無理のないホワイトニングを実現します。
「とにかく白くする」のではなく、年齢や雰囲気に合った自然で
上品な白さを目指します。
若い世代から大人世代まで、それぞれに合った理想のトーンをご提案します。
初めての方でも安心して通える、
やさしく続けやすいホワイトニングサロンです。
刺激をできるだけ抑えたやさしい施術で、歯や歯ぐきに無理のないホワイトニングを実現します。
「とにかく白くする」のではなく、年齢や雰囲気に合った自然で上品な白さを目指します。
若い世代から大人世代まで、それぞれに合った理想のトーンをご提案します。
初めての方でも安心して通える、
やさしく続けやすいホワイトニングサロンです。
魅力2水素ガス同時吸入オプション
ホワイトニングと同時に、水素ガス吸入による内側からのケアも
ご提供しています。
美容面だけでなく健康面にもアプローチできるため、
40代以降のお客様からも高い支持をいただいています。
施術中に“ながらケア”ができるので、忙しい方にもぴったりです。
歯の美しさと身体のコンディションを同時に整えられる、
新しいスタイルのサロン体験をご用意しています。
ホワイトニングと同時に、水素ガス吸入による内側からのケアもご提供しています。
美容面だけでなく健康面にもアプローチできるため、40代以降のお客様からも高い支持をいただいています。
施術中に“ながらケア”ができるので、忙しい方にもぴったりです。
歯の美しさと身体のコンディションを同時に整えられる、新しいスタイルのサロン体験をご用意しています。
魅力3一人ひとりに寄り添うサロン
当サロンは、施術をして終わりではなく、お客様との信頼関係を大切にしています。
歯のことはもちろん、美容や健康のお悩みまで気軽に相談できる場所でありたいと考えています。
若い世代から大人世代まで、それぞれのライフスタイルに寄り添ったサポートを行います。
長く安心して通える、あなたのパートナーのようなサロンを目指しています。
Grace Whitening Yokohamaの
セルフホワイトニングとは?
お客様自身で行う、全く新しい歯のホワイトニングです。
セルフ方式だからこそ、事前の説明やサポートを大切にしています。
不安なことやご質問にも一つひとつ丁寧にお答えし、安心して施術を受けていただける体制を整えています。
お客様自身で行う、全く新しい歯のホワイトニングです。
セルフ方式だからこそ、
事前の説明やサポートを大切にしています。
不安なことやご質問にも一つひとつ丁寧にお答えし、安心
して施術を受けていただける体制を整えています。
自然な白さ
歯の自然な白さを
取り戻します
歯の自然な白さを
取り戻します
料金が安い
低価格で気軽に
続けられます
低価格で気軽に
続けられます
短時間
1回約30分の施術で
効果を実感
1回約30分の施術
で効果を実感
安心安全
人にやさしい成分と
LEDライトを使用
人にやさしい成分
とLEDライトを
使用
痛みがない
歯にやさしく
しみる心配が少ない
歯にやさしく
しみる心配が
少ない
気軽で安心
自分のペースで
無理なく通えます
自分のペースで
無理なく
通えます
白さも、やさしさも。
2つのジェルから選べる
あなたに合ったホワイトニング
歯をやさしくケアする
美容ジェル
できるだけ刺激を抑えてケアしたい
ナチュラルで自然な白さを目指したい
歯の表面ケアを重視したい
やさしい使用感を優先したい
医療成分を含む
ホワイトニング用ジェル
しっかり白さを実感したい
短期間でトーンアップを目指したい
より効果重視のホワイトニングを受けたい
写真やイベント前に印象を明るくしたい
「やさしさ」と「効果」を両立する
独自の方法
効果とやさしさのバランスを重視したホワイトニング
刺激をできる限り抑える
美容ジェル成分で歯をやさしくコーティング
ホワイトニング後の食事制限なし
白さの感じ方や理想は、人それぞれ違います。
当サロンのホワイトニングはそれぞれのご希望に合わせて、「選べる」ことが特徴です。
お一人おひとりのお口の状態や、
目指したい白さに合わせて組み合わせることで、
「刺激をできるだけ抑えながら、しっかり効果も実感できる」
バランスのよいホワイトニングをご提案しています。
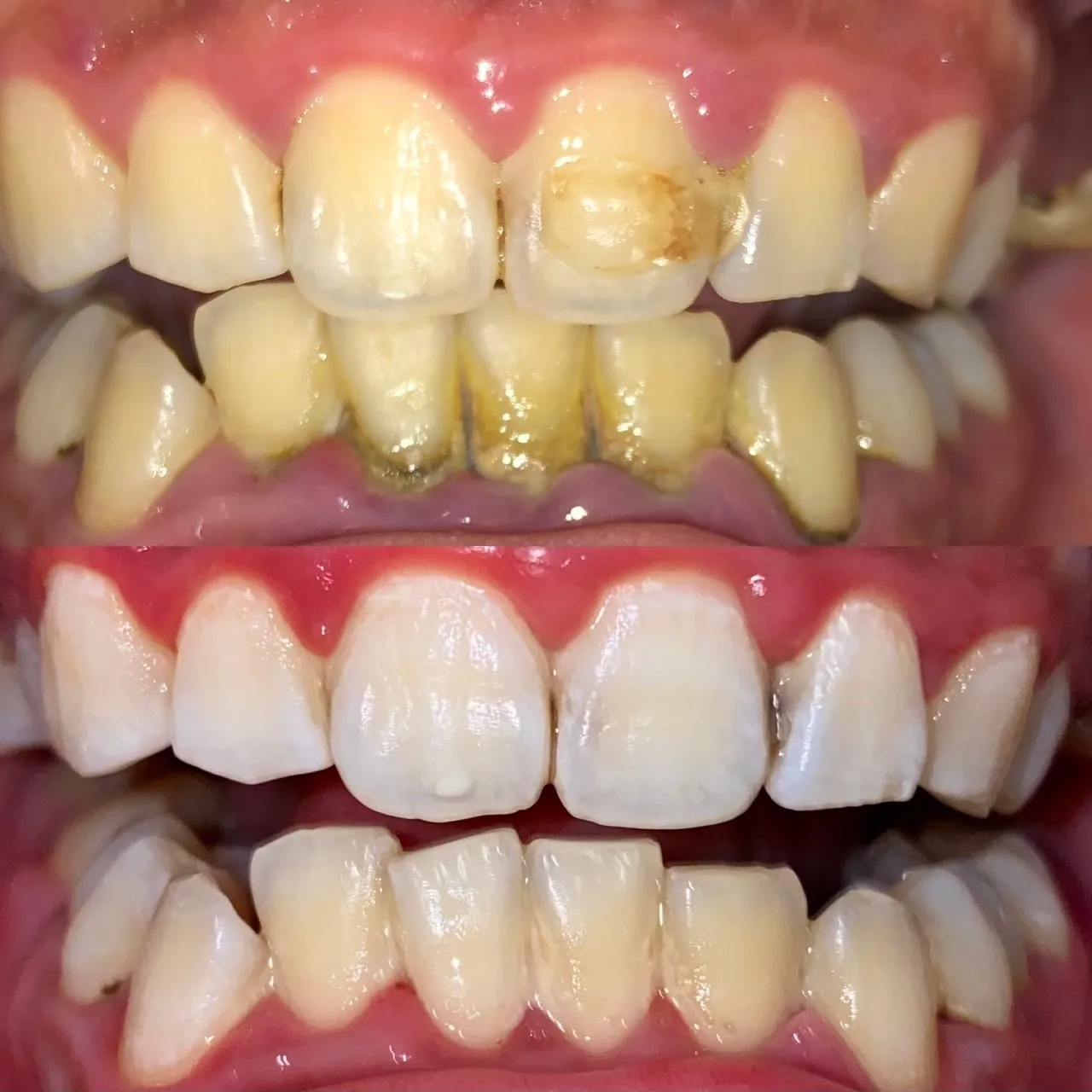
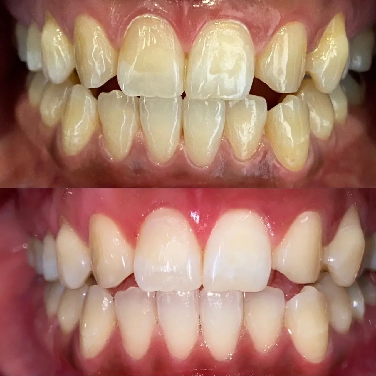
お客様のbefore after
30代女性
年齢に関係なく通える
安心感があります
この年齢でホワイトニングはどうかな…と思っていましたが、やさしい施術と親身な対応で安心してお任せできました。
水素吸引のオプションも一緒にできるのが魅力で、体の内側からもケアできるのが嬉しいです。
無理なく続けられる価格なのもありがたいですね。
40代女性
清潔感が上がり、
仕事でも好印象に
営業職なので第一印象を良くしたくて始めました。
セルフホワイトニングは初めてでしたが、スタッフの方が丁寧に説明してくれて不安なくできました。
短時間で手軽なのにしっかり効果を感じられて満足しています。
歯がきれいになると気持ちまで前向きになりますね。
50代女性
笑顔に自信が持てるように
なりました!
年齢とともに歯の黄ばみが気になっていましたが、こちらのホワイトニングは痛みもなく安心して受けられました。
白くなりすぎない自然な仕上がりで、周りからも「雰囲気が明るくなったね」と言われてとても嬉しいです。
落ち着いたサロンの雰囲気も心地よく、これからも定期的に通いたいと思います。
ホワイトニングの流れ
STEP
1
ご来店・カウンセリング
まずはスタッフが丁寧にカウンセリングを行います。
現在の歯のお悩みやご希望をお伺いし、施術内容や効果について分かりやすくご説明します。
不安な点はこの時点で何でもご相談ください。
まずはスタッフが丁寧にカウンセリングを行います。
現在の歯のお悩みやご希望をお伺いし、施術内容や効果について分かりやすくご説明します。
不安な点はこの時点で何でもご相談ください。
STEP
2
色味チェック&事前準備
施術前に歯のトーンをチェックし、現在の状態を確認します。
その後、セルフホワイトニングの手順をスタッフがしっかりサポート。
初めての方でも迷わず進められるので安心です。
施術前に歯のトーンをチェックし、現在の状態を確認します。
その後、セルフホワイトニングの手順をスタッフがしっかりサポート。
初めての方でも迷わず進められるので安心です。
STEP
3
セルフホワイトニング施術
専用ジェルを塗布し、LEDライトを照射します。
痛みやしみる心配がほとんどなく、リラックスしながら行えます。
お客様ご自身で行うため、気軽で安心・安全なホワイトニングです。
専用ジェルを塗布し、LEDライトを照射します。
痛みやしみる心配がほとんどなく、リラックスしながら行えます。お客様ご自身で行うため、
気軽で安心・安全なホワイトニングです。
STEP
4
仕上がり確認・アフターサポート
施術後に再度トーンチェックを行い、効果を一緒に確認します。
ご自宅でのケア方法や通うペースについてもアドバイス。
理想の白さをキープできるよう、しっかりサポートいたします。
施術後に再度トーンチェックを行い、効果を一緒に確認します。ご自宅でのケア方法や通うペースについてもアドバイス。理想の白さをキープできるよう、しっかりサポートいたします。
料金プラン
モニター体験
(期間限定)
まずはお試ししてみたい方へ
30分照射通常 ¥13,200 > ¥ 3,000(税込)
丁寧なカウンセリング付きで安心して始められます。
※口コミ投稿・写真使用にご協力いただける方限定
※お一人様1回限り
\ 新規人気NO.1 /
スタンダード
まずはしっかり変化を感じたい方へ
40分照射(20分×2回)通常 ¥17,600 > ¥ 5,200(税込)
当サロンで一番選ばれている人気メニューです。
水素吸引セット
内側からのケアも意識したい方へ
40分照射+水素吸引40分通常 ¥18,600 > ¥ 6,000(税込)
ホワイトニング中に水素吸引を同時に行う
"ながら美容"メニュー。
継続をご希望の方へ
白さを定着させたい方には
回数プラン(30回
60,000円など)もご用意しております。
※詳細はご来店時にご案内いたします。
Q & A
白くなりますか?
個人差はありますが、多くの方が数回の施術で変化を感じられています。
ありませんか?
出にくいのが特徴です。初めての方や年齢層が高めの方でも安心して受けていただけます。
いいですか?
初めは3~4回を短い間隔で、その後は月に1回程度のケアで白さをキープできます。
お客様の理想に合わせて最適なペースをご提案します。
ですか?
2回目以降は、30〜40分の施術時間となります。
※実際、薬剤を塗る、口濯ぎや歯磨きなどのお時間を入れて、60分くらいかかる方もいるため、60分枠でお取りしています。
若い世代から大人世代まで安心して受けられるホワイトニングです。
刺激が少なく安全性の高い方法なので、40代・50代の方にも多くご利用いただいています。
できますか?
最初に丁寧なカウンセリングと手順説明を行い、必要に応じてサポートします。
難しい操作はなく、どなたでも簡単に行えます。
一緒に受けるメリットは?
ホワイトニング中に同時に水素吸引ができるため、忙しい方でも"ながらケア"が可能です。
外側の美しさと内側のケアをまとめて行える点が好評です。
お客様のご都合に合わせてお支払いいただけますので、安心してご利用ください。
私が届けたいのは、白さそのものだけではなく、
その先にある自信です。
“ 歯が白くなる、
その先にあるもの ”
最近、鏡を見るのがちょっと憂鬱
何か始めたいけど、勇気が出ない
若い頃より自信がなくなった気がする
もう一度、自分を大切にしたい
私が初めてホワイトニングをしたのは50代に入ってから。
正直、人生が変わるなんて期待していませんでした。
けれど歯が白くなったことで、人と話すときの気持ちが変わり、
鏡を見るのが少し楽になり、「私にもまだできることがあるかも」と思えたのです。
ここは、誰かと比べる場所ではありません。
あなたが、あなたを少し好きになるための場所。
その一歩を、私はそばで伴走します。
ひとつでも当てはまる方は、
ぜひ一度ご相談ください。
店舗情報

住所
〒231-0014 神奈川県横浜市中区常盤町
4丁目47
ニューイナズマビル
301D
営業時間
平日 10:00~20:00
土日祝 10:00~20:00
当サロンは、セルフホワイトニングを中心に、若い世代から
大人世代まで安心して通えるホワイトニング専門サロンです。
「無理なく・自然に・続けやすく」をコンセプトに、
お一人おひとりのお悩みや理想に合わせたケアをご提案いたします。

JR関内駅北口徒歩2分|
馬車道駅5番出口徒歩5分